カラダの不調は「バクテリアセラピー」で改善できるのか⁉ 体験レポート!

みなさんこんにちは🤗! ゆめの森歯科スタッフです🎶 皆さん「バクテリアセラピー」って聞いたことはありますか? ヒトの体には約500種500兆個以上、重量換算約2kg!! にもなる膨大な量と […]
【ホワイトニング】してみました! ③

ホワイトニング未経験の私、 ゆめの森歯科で初めてのホワイトニングにチャレンジしました☆彡 前回の記事👆では、 ①ホワイトニングについての説明(注意事項) ②写真撮影と色度の確認 […]
【ホワイトニング】してみました!②

ホワイトニング未経験の私、ゆめの森歯科で初めてのホワイトニングにチャレンジしました☆彡 ◉まずは、ホワイトニングを受けた際の工程についてご説明しますね(*^-^*) 流れは、「初診の方」「定期健診でご来院頂いている方」で […]
【✨ゆめの森歯科の想い✨】

みなさんこんにちは🙌 ゆめの森歯科いせはらスタッフです👩 今回は、ゆめの森歯科の紹介です🎶 医院に足を踏み入れてみないとどんな医院なのか、なかなかわからないですよね […]
【簡単にできるむし歯予防のポイント3つ💡❕❕❕】

みなさんこんにちは☺ゆめの森歯科いせはらスタッフです🎵🎵🎵 今日は、みなさんが気になる【むし歯予防】に効果的なものを紹介します❕❕ […]
強度番長!「ジルコニア」の魅力✨

みなさんこんにちは!ゆめの森歯科スタッフです(●’◡’●) 私には悩みがあります( ;∀;)それは、「噛みしめが強い」こと。。 しっかり噛めていいのですが、歯ぎしりや、筋肉のこわばり、エラ張りなど、様々な問題が出てくると […]
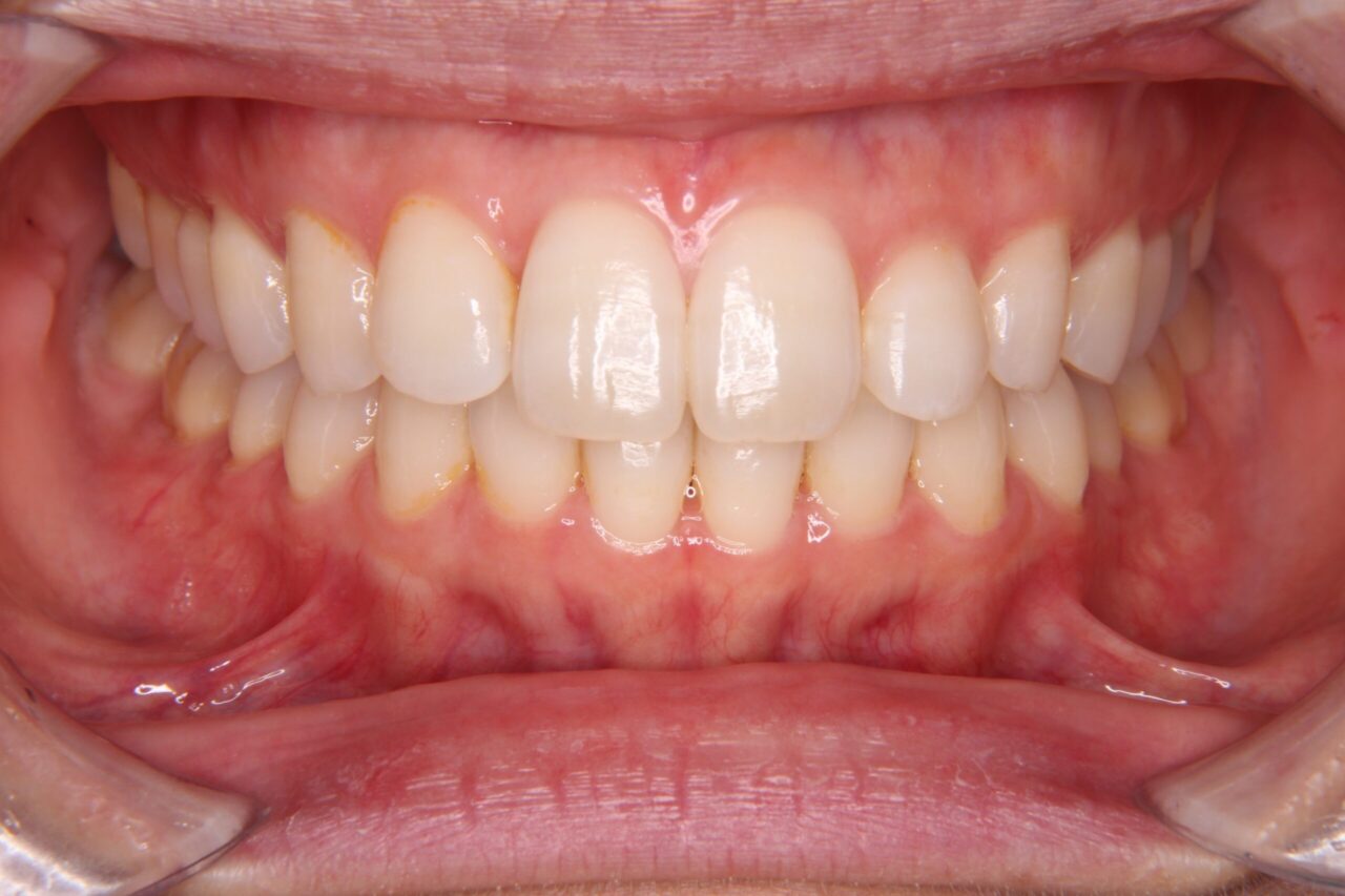
【インビザライン矯正】記録②

インビザライン矯正前 インビザライン矯正を実際にスタートするにあたり、まず行うこととして、アタッチメントと呼ばれる歯の表面にレジンの突起物を付けます。 これを付けることで、歯に加わる力を調整し、歯を効率的に動かすことがで […]
【インビザライン矯正】記録①

みなさん突然ですが、自分の歯並びは気になっていませんか? 意外と口元にコンプレックスを持っている方は多いと思います。 私も、昔から自分の歯並びにコンプレックスがあり、「矯正してみたいな~」となんとなく考 えていましたが、 […]
【親知らずの抜歯】をしました!②

口内の奥の方が押されるような、ジンジンとした違和感にずっと悩んでいた私。 親知らずを抜く決心を固めました(>_<)! いよいよ、親知らず抜歯の日がやってきたのですが、抜歯が初体験の私は、やっぱりドキドキ。。。 […]
【親知らずの抜歯】をしました!①

みなさん、「親知らず」は生えていますか? 親知らず(おやしらず)とは、一番手前の歯から数えて8番目に生える、一番奥の大臼歯のことです。「第3大臼歯」または「智歯」とも呼びます。 一般的には、永久歯は15歳頃までに全て生え […]