ゆめの森BLOG

BLOG

【ホワイトニング】してみました! ③

 

ホワイトニング未経験の私、
ゆめの森歯科で初めてのホワイトニングにチャレンジしました☆彡

【ホワイトニング】してみました!②

前回の記事👆では、

①ホワイトニングについての説明(注意事項)
②写真撮影と色度の確認
③簡単にクリーニング
※クリーニングが久しぶりの方は歯面の汚れ具合によって、「クリーニング」と「ホワイトニング」を別日で行う場合があります。
④お口周りを保護
⑤ホワイトニング剤を塗り 12分×3回 LEDライトを照射
⑥歯の表面をトリートメント
⑦口腔内写真撮影
⑧食べ物などの注意事項を聞いて施術終了

ホワイトニングの工程①~⑥についてレポートしましたが、
今回は、残りの工程⑦⑧と、「ホワイトニングで感じた事」「結果」「注意点」などをレポートしていきます😊!

 

⑦口腔内写真撮影

施術が終わったら、記録のための写真撮影です! どうなっているかな?!

⑧食べ物などの注意事項を聞いて施術終了

食べ物は、基本的に24時間は「白い」食べ物のみにして下さいね😊

ホワイトニング後、私はしばらくお湯を飲み、ホワイトシチューを食べていました✊

持ち帰り用の資料も、用意しています(^^)

 

衛生士おススメのアパガードリナメルも購入♪ 歯の修復&トリートメントの効果がある歯磨き粉です。 120gで税込み2,300円、50gで1,300円です。お高めですが、使うとツルツルになるのを感じました。

 

【結果について】

医院で撮影してもらった、術前術後写真です!

左端の色調サンプルを見ていただくと、色味が「A3」から「A1」レベルに2段階上がったのが見えるかな?と思います😊
只、正直に言うと口腔内写真よりも、実際に自分の目で鏡を見た方が、実感は高かったかなと思いました(^^)💦

歯を美白する効果と共に、「ホワイトニングにはマスキング効果」があります。
(歯の透け感を無くすことで、周りの色が歯に透けず、白を際立たせる効果です。)

マスキング効果の影響で、口全開の状態で歯がクローズアップされているよりも、少し唇で影っている歯の方が白く見えるのかな?

なんて、勝手に推測してみたりしました。

ちょっとわかりずらいのですが、ホワイトニング後に、元の色(A3)の歯のサンプルをあてた画像です。こちらの方が色の違いがよくわかる気がします😊
拡大図ですが、わかりずらい💦

 

◉歯が白くならないことがある?

私自身としては、満足いく結果となりましたが、
歯の白くなる度合いは、体質によるところもあります。

また、前歯に「人口歯」が入っている方や「歯の神経がない」方は、白くなりませんのでご注意を!!

私も一部詰め物が入っているのですが、その部分は白くならず、ちょっと黄色浮きしちゃいました💦

気になる場合は、詰め替えてもらってくださいね!

「歯の神経がない」方は、「ウォーキングブリーチ」という歯の内側に薬剤を充填する方法で白くすることができます。
ご相談ください(^^)

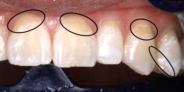
黒丸の部分が人工歯で、色が白くならなかった箇所です💦

 

また、お気づきかもしれませんが、私は体質的に元々歯に色ムラがあります(>_<)

この色ムラはホワイトニングをしても治りません⚠️

色ムラがあるまま白くなるのです!

◉ホワイトニングをしてはいけない体質の人がいる?

・呼吸器に疾患がある方
・無カタラーゼ症がある方
・エナメル質や象牙質が十分に発達していない方
・妊婦、授乳中の方

主に、上記の方はホワイトニングを行えない可能性があります。

また、下記の方についてはすぐにホワイトニングはできませんが、治療を行った後にホワイトニングを実施できる可能性があります。

・虫歯や重度の歯周病の方
・歯の表面にヒビがある方
・知覚過敏が強い方

ご不安や、不明点がある方は、ご相談くださいね。

「知覚過敏になってしまうと聞いた。。。」

前回のブログでもレポートした通り、

LEDライトの照射中に、突然「キーン」と歯の奥にしみるような痛みがあるかもしれません⚠️

私の場合は、12分×3セットのうちに2回だけですが、ありました💦

この痛みや回数には、かなり個人差があるとの事で、私は結構痛かったです・・・。

一瞬で痛みは引きましたが(^^)💦

 

また、施術後の知覚過敏について。

施術が終わった後2時間くらい、突然「キーン」としみるような痛みが何度か襲ってきました(>_<)むず痒い痛みでつらかったです💦
ですが、2時間後以降は特に知覚過敏にはなりませんでしたし、
冷たい物も飲めましたよ😊♪ 

◉3つのホワイトニングプラン

ゆめの森歯科グループでは、主に3つのホワイトニングプランがあります。

①「オフィスホワイトニング」

価格:27,500円

所要時間:100分ほど

内容:今回のプランです♪

 

②「ブライトケア」

価格:38,500円

所要時間:180分ほど

内容:オフィスホワイトニングに追加して、

歯科衛生士によるブラッシングチェックや、アドバイス。
本格クリーニングも行い、バイオフィルムやステインの除去をします。

また、歯のトリートメントや、ガムマッサージのプランも追加されます。

 

③「ホームホワイトニング」

スターターキット価格:33,000円

内容:ご自宅で好きなことをしながら、マイペースにホワイトニングをするためのキットです。

ご自身で行うため、注意は必要ですが、無理なく進めていただけるホワイトニングです。

 

★「デュアルホワイトニング」

さらにワンランク上の白さを目指す方は、
「オフィスホワイトニング」と「ホームホワイトニング」を併用して行う、「デュアルホワイトニング」を行う方もいらっしゃいます。

 

ご興味がある方は、是非ご来院お待ちしています♪

気になることは、お気軽にお問い合わせくださいね!