コロナ禍の今、“除菌”が注目されています。今や日常の光景になりつつある“除菌”のために、消毒グッズを持ち歩いている人も多いのではないでしょうか? 歯科医院である当院では、新型コロナウイルス感染症の流行前から、院内の除菌・ […]
BLOG
コロナ禍の今、“除菌”が注目されています。今や日常の光景になりつつある“除菌”のために、消毒グッズを持ち歩いている人も多いのではないでしょうか? 歯科医院である当院では、新型コロナウイルス感染症の流行前から、院内の除菌・ […]
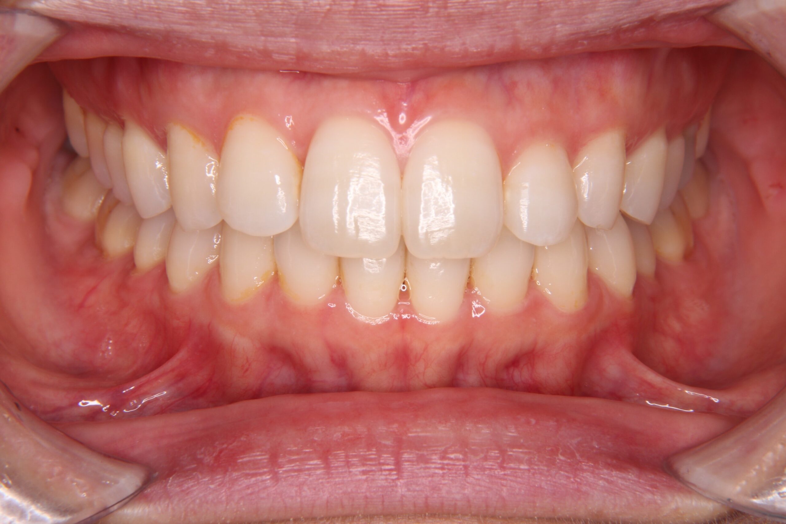
インビザライン矯正前 インビザライン矯正を実際にスタートするにあたり、まず行うこととして、アタッチメントと呼ばれる歯の表面にレジンの突起物を付けます。 これを付けることで、歯に加わる力を調整し、歯を効率的に動かすことがで […]
みなさん突然ですが、自分の歯並びは気になっていませんか? 意外と口元にコンプレックスを持っている方は多いと思います。 私も、昔から自分の歯並びにコンプレックスがあり、「矯正してみたいな~」となんとなく考 えていましたが、 […]
口内の奥の方が押されるような、ジンジンとした違和感にずっと悩んでいた私。 親知らずを抜く決心を固めました(>_<)! いよいよ、親知らず抜歯の日がやってきたのですが、抜歯が初体験の私は、やっぱりドキドキ。。。 […]
みなさん、「親知らず」は生えていますか? 親知らず(おやしらず)とは、一番手前の歯から数えて8番目に生える、一番奥の大臼歯のことです。「第3大臼歯」または「智歯」とも呼びます。 一般的には、永久歯は15歳頃までに全て生え […]